뇌 MRI와 MRA의 차이점은 무엇인가요? (뇌경색 vs 뇌동맥류)
카테고리 없음
기온이 급격히 떨어지는 이맘때면 우리 몸의 혈관들은 잔뜩 수축하게 되는데요. 그래서인지 뇌졸중(중풍)이나 뇌동맥류 같은 뇌혈관 질환에 대한 걱정으로 병원을 찾는 분들이 급증하는 시기이기도 합니다.
그런데 건강검진을 예약하거나 상담을 받다 보면 항상 턱 막히는 순간이 있습니다.
"환자분, 뇌 MRI를 찍으시겠어요, 아니면 MRA도 같이 찍으시겠어요?"
알파벳 한 글자 차이인데 가격은 수십만 원씩 차이가 나고, 도대체 뭐가 다른 건지 헷갈리셨죠? 오늘은 이 두 검사의 결정적인 차이점과, 내 증상에 맞춰 무엇을 찍어야 하는지 쉽게 정리해 드리겠습니다.

[건강상식] 뇌 MRI vs MRA 도대체 뭐가 다를까?
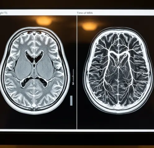
의학 용어는 어렵지만, '집'에 비유하면 아주 쉽습니다.
- 뇌 MRI (자기공명영상): 집의 '내부 인테리어'를 보는 검사입니다.
- 방 구조는 잘 되어 있는지, 벽에 곰팡이는 없는지, 가구가 부서지진 않았는지를 봅니다. 즉, 뇌의 '실질적인 살(조직)' 모양을 찍습니다.
- 뇌 MRA (자기공명혈관조영술): 집 벽 속에 숨겨진 '수도 배관(보일러 배관)'만 따로 보는 검사입니다.
- 물이 흐르는 파이프가 꽉 막히진 않았는지, 혹은 파이프가 낡아서 꽈리처럼 부풀어 오르진 않았는지를 봅니다. 즉, 뇌의 '혈관'만 집중해서 찍습니다.
1. 뇌 MRI: "뇌경색, 치매, 종양"을 찾아냅니다
MRI(Magnetic Resonance Imaging)는 강력한 자석의 힘을 이용해 뇌의 단면을 사진처럼 찍어내는 검사입니다.
- 무엇을 확인하나요?
뇌의 구조적인 변화를 봅니다. 뇌세포가 죽었는지, 뇌가 쪼그라들었는지(위축), 혹은 이상한 덩어리(혹)가 생겼는지를 가장 정확하게 파악합니다. - 어떤 병을 발견하나요?
- 뇌경색: 혈관이 막혀서 이미 뇌세포가 괴사한 흔적을 찾습니다.
- 뇌출혈: 뇌혈관이 터져서 피가 고여 있는 상태를 봅니다.
- 뇌종양: 뇌 속에 생긴 암이나 물혹.
- 치매: 뇌의 해마 부위가 위축된 정도를 보고 알츠하이머 등을 진단합니다.
결론: "머리가 자주 아프고 기억력이 떨어진다", "갑자기 말이 어눌해졌다" 등 뇌 기능에 문제가 의심될 때 가장 기본이 되는 검사입니다.
2. 뇌 MRA: "뇌동맥류(시한폭탄) 혈관 협착"을 찾아냅니다
MRA(Magnetic Resonance Angiography)에서 'A'는 Angiography, 즉 혈관 조영술을 뜻합니다. 뇌 조직은 투명하게 처리하고 오직 '혈관의 길'만 입체적으로 보여줍니다.
- 무엇을 확인하나요?
피가 다니는 길이 좁아졌는지, 막혔는지, 아니면 풍선처럼 부풀어 올랐는지를 봅니다.
- 어떤 병을 발견하나요?
- 뇌동맥류: 뇌혈관 벽이 약해져 꽈리처럼 부풀어 오른 상태입니다. 이게 터지면 무서운 '지주막하 출혈'이 되므로, 터지기 전에 찾아내는 것이 핵심입니다. (이건 MRI로는 잘 안 보입니다!)
- 뇌혈관 협착: 혈관 내부에 찌꺼기가 쌓여 길이 좁아진 상태.
- 혈관 기형: 태어날 때부터 혈관 모양이 꼬여있는 경우.
결론: 가족 중에 뇌졸중 환자가 있거나, 고혈압/당뇨가 있어서 '혈관 건강'이 걱정되거나, '뇌동맥류'라는 시한폭탄을 미리 찾고 싶다면 MRA가 필수입니다.
3. 둘 다 찍어야 하나요?
비용이 부담되다 보니 하나만 찍으면 안 되냐고 묻는 분들이 많습니다. 하지만 의사 입장에서 정답은 "가급적 둘 다 찍는 것이 좋다"입니다.
이유가 무엇일까요?
- MRI는 정상인데 MRA는 비정상일 수 있습니다: 뇌 조직 자체는 멀쩡하지만, 혈관에는 언제 터질지 모르는 꽈리(동맥류)가 있을 수 있습니다. 반대로 혈관은 뚫려 있어도 뇌 속에 종양이 있을 수도 있죠.
- 상호 보완: MRI로 뇌경색 흔적을 발견했다면, 그 원인이 어느 혈관이 막혀서 생긴 건지 알기 위해 MRA가 필요합니다. 실과 바늘 같은 존재입니다.
비용 꿀팁 (급여 기준):
단순 건강검진 목적이라면 비급여(전액 본인 부담)라서 비쌉니다.
하지만 의사의 진료 하에 '신경학적 이상 증상(심한 어지럼증, 마비, 극심한 두통 등)'이 있어서 질환이 의심될 경우에는 급여를 받아 훨씬 저렴하게 검사할 수 있습니다. 무조건 비싼 건 아니니 신경과 전문의와 상담해보세요.

글을 마치며
정리하자면 이렇게 기억하세요.
- 내 뇌세포가 안녕한지 궁금하다면? 👉 MRI
- 내 핏줄(혈관)이 튼튼한지 궁금하다면? 👉 MRA
건강검진 미실시 벌금이나 과태료내나요?
건강을 챙기는 것은 우리 모두의 바람이죠. 하지만 바쁜 일상 속에서 건강검진을 미루는 경우가 종종 있을 겁니다. 그런데 건강검진을 받지 않으면 벌금을 내야 할까요? 오늘은 건강검진 미실시
hoingdoing.tistory.com
12월의 찬 바람은 혈관 건강의 적입니다. 특히 50대 이상이거나 고혈압, 당뇨, 고지혈증 같은 기저질환이 있으시다면, 이번 겨울에는 나를 위한 선물로 뇌 정밀 검사를 한번 받아보시는 건 어떨까요?